Invisalign® Clear Orthodontics
Is Invisalign® Clear Orthodontic Treatment Right for You?
Invisalign® is a discreet, highly-effective solution for adults, kids and teens ages 7-19 who want to straighten their teeth without braces. Invisalign® is comfortable, easy-to-use, and allows the wearer to avoid the problems commonly associated with wearing braces.
Designed to be worn 22 hours per day, Invisalign® is so comfortable that you might forget you’re even wearing it! There’s no need to change your daily habits, and the clear, invisible aligners allow you to be confident during public appearances or when interacting with new people.
Whether you’re looking for minor adjustments or major shifts, Invisalign® helps you achieve the smile you’ve always wanted.
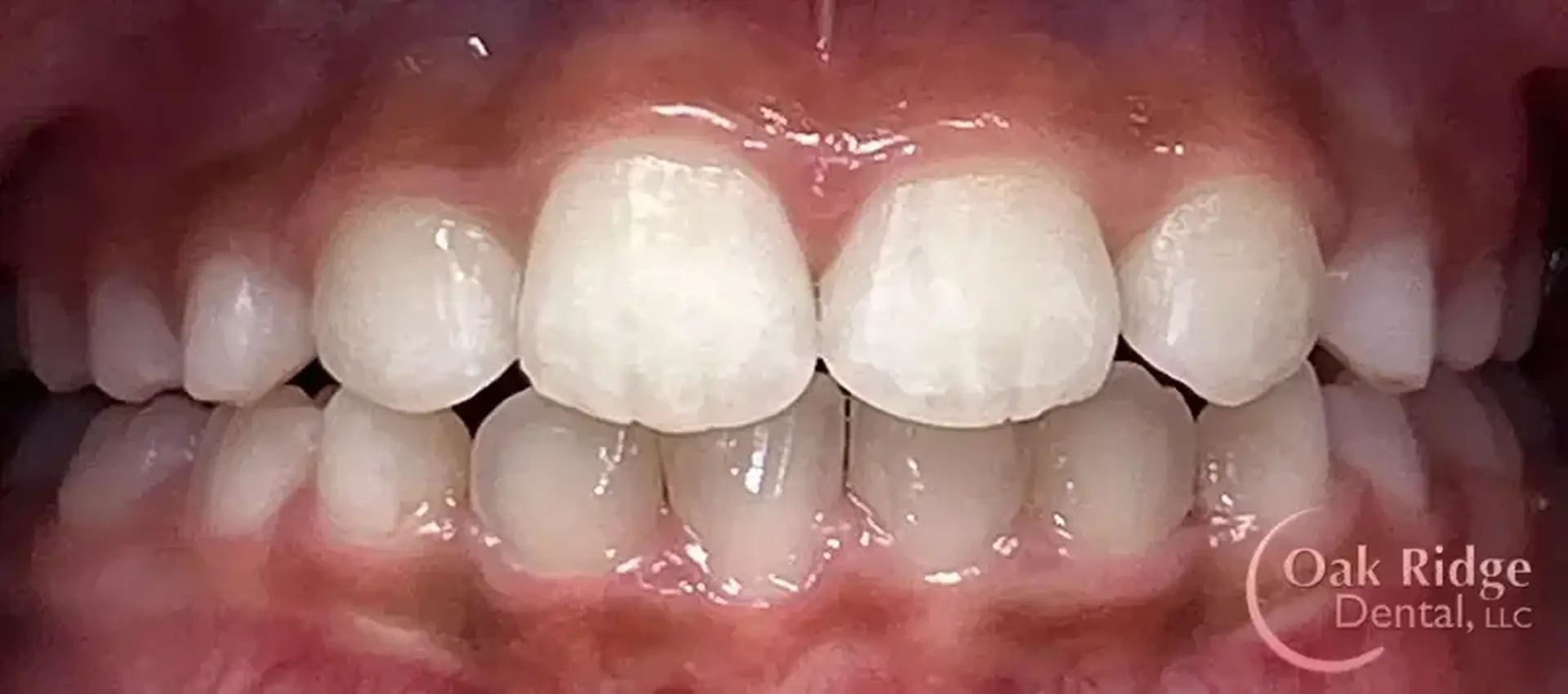
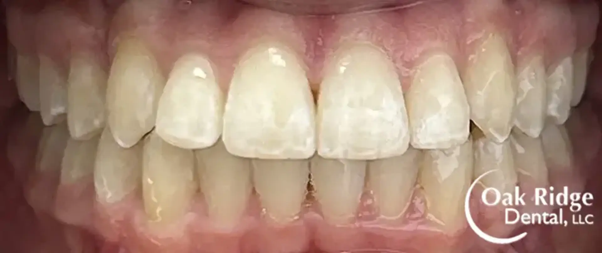
Invisalign® Clear Orthodontics Gallery
Come and see some of the great Invisalign® work our team and Dr. Jeff Olson have accomplished! Here, you can find examples of our patients at Oak Ridge Dental who have received the smiles of their dreams from Invisalign clear aligners in Burnsville, Minnesota. Contact us at 952-435-0355 and begin on the road to a new smile with our dentist today!
Click on the images to see before and after comparisons
*All images belong to Oak Ridge Dental and are not available for public distribution
Proud to Be An Invisalign® Blue Diamond Plus (Top Tier) Provider
We believe in the life-changing potential of Invisalign®, and our track record proves it! Invisalign® recognizes our team as Blue Diamond Plus (Top Tier) Invisalign® providers, placing them in the Top 1% of all Invisalign® providers in North America. This means our doctor is among the most experienced Invisalign® providers, so you know you’re getting the best possible treatment.
How Does Invisalign® Clear Orthodontic Treatment Work?
Schedule a Consultation
During your initial consultation, we will examine your teeth alignment via X-rays and scans. Following this examination, we’ll show you a preview of your new smile!
Build a Treatment Plan
We will discuss the process through which you’ll achieve your desired smile. We will answer any questions you have and make recommendations based on your goals.
Receive Your Aligners
Following your consultation, you’ll be provided with your aligners. These will be specially-designed to begin shifting your teeth to their desired position.
Start Smiling More
You can start smiling more right away when you choose to begin Invisalign treatment. There’s no better feeling than seeing your dream smile developing during your treatment!
Why Invisalign® Clear Orthodontics?
Invisalign® has become a popular alternative to braces not only for aesthetic reasons (clear aligners vs. metal wires), but also because of the speed with which aligners are able to straighten smiles.
Traditional Braces
Braces target teeth on an individual basis, meaning that although each tooth is being aligned, the force isn’t being applied to your entire set of teeth at once. Additionally, traditional braces are more difficult to maintain, and some foods will be off-limits as they may get stuck in the wires. There may also be minor discomfort associated with braces.
Invisalign® Clear Aligners
Invisalign® has a number of advantages over traditional braces, especially for adults and older teens who don’t want to have the appearance of braces. The clear aligners are removable to allow for easier teeth cleaning, comfortable, and of course, discreet. In many cases, clear aligners are able to achieve the desired results quicker than traditional braces.
Cost of Treatment
If you are interested in Invisalign® clear orthodontics treatment in Burnsville, Minnesota, but have concerns about the cost, contact our team at Oak Ridge Dental today to find a payment plan that works for your budget! You will not find a better deal for a complete treatment plan. We offer Invisalign® clear aligners for the low price of $3,995*, which includes:
A thorough treatment plan…complete with a beautiful smile at the end!
Retainers to keep your smile straight.
Records that detail every step of your treatment.
Teeth whitening while using your clear aligners.
Treatment includes all necessary aligners
Financing Options
We understand that making an investment in your smile is a big decision that requires a budgeting plan to be completely affordable. We offer in-house payment plans to assist you in paying for your treatment, and we’ll help you understand how much your insurance will cover. Many HSA plans can also help out with the cost!
Dr. Olson and the entire Oak Ridge Dental team will make sure you get the treatment you need at the best possible price. Call us at 952-435-0355 to learn more about your financing options.
FROM OUR PATIENTS
Frequently Asked Questions
If you have questions about your Invisalign® treatment in Burnsville, Minnesota, check out our questions below or call us at 952-435-0355! Our team and dentist at Oak Ridge Dental will be happy to help you learn more about our favorite orthodontic option. Dr. Jeff Olson is excited to meet you and give you the smile you have been looking for!
What is orthodontics?
Orthodontics is the field of dental specialty that focuses on diagnosing, preventing and treating dental and facial irregularities, including misaligned teeth and jaws.
When should my child receive their first orthodontic screening?
The American Association of Orthodontists® recommends that children receive their first orthodontic screening by age 7. At this age, several permanent teeth have erupted and any developing problems will be easier to diagnose and treat.
Am I too old for orthodontic treatment?
No! While the majority of patients who receive orthodontic treatment are children or teenagers, adults are regularly seeking orthodontic assistance to improve their smiles and oral health. As long as your teeth and supporting structures are healthy, you can receive treatment.
Can I discreetly straighten my teeth?
Absolutely! Clear aligners and other options make it simple for your teeth to be properly but discreetly straightened. We understand that braces can impact a patient’s confidence and self-esteem, and daily quality of life. Our team wants you to feel and look your best during and after your orthodontic treatment. Call us today to see if our discreet straightening techniques are right for you!
How do I keep my teeth clean with Invisalign®?
It is essential to maintain good oral hygiene while wearing clear aligners. To keep your smile healthy, we encourage you to follow these steps:
Brush your teeth three times a day, especially after meals.
Clean around your clear aligners thoroughly.
Floss every day.
Rinse your teeth each time you clean them.
Poor oral hygiene while wearing clear aligners may result in tooth damage, tooth decay, or prolonged orthodontic treatment.
What should I do if I have an orthodontic emergency?
If you experience an orthodontic emergency, we urge you to call our office as soon as possible. Even if you have a regular appointment scheduled soon, contact us immediately to let us know, so we can minimize complications and start working toward a solution to your problem. Additionally, we will be able to provide you with relevant instructions on what to do until you’re able to see our dentist.
How long will I need orthodontic treatment?
Orthodontic treatment times vary greatly depending on the patient. With advanced technology, orthodontic treatment is now faster, more comfortable, and more effective than in years past. That means it’s always a great time to straighten your smile. During your consultation, our dentist will work with you to create a treatment plan that suits all of your orthodontic needs.
Invisalign® Treatment Instructions
Invisalign® clear aligners can be the perfect solution to improving the alignment of your smile. They are comfortable and easy to clean and of course, only our dentist, Dr. Jeff Olson, and you will ever know you are using them! But as user-friendly as the Invisalign® system is, there are still things you need to do to ensure the success of your treatment and for your aligners to serve you as they should. At Oak Ridge Dental we offer Invisalign treatment instructions in Burnsville, Minnesota. If you have questions or need help with an issue, please contact our office at 952-435-0355.
Invisalign® and the Invisalign® logo, among others, are trademarks of Align Technology, Inc., and are registered in the U.S. and other countries.
)
)